

Excelência odontológica acessível a todos os sorrisos.




Excelência odontológica, acessível a todos os sorrisos.
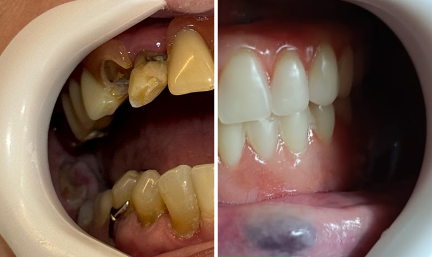
Na DiQuali Odontologia, unimos tecnologia, experiência e acolhimento para devolver saúde, função e estética ao seu sorriso — do primeiro contato ao pós-tratamento.


+15 mil
pacientes atendidos em Minas Gerais


Cuidado Multidisciplinar para o seu sorriso!
Na DiQuali Odontologia, unimos tecnologia, experiência e acolhimento para devolver saúde, função e estética ao seu sorriso — do primeiro contato ao pós-tratamento.


Avaliação odontológica + exame . Estrutura completa . Condições flexíveis . Possibilidade de sedação . Bloco cirúrgico moderno . Sala privativa pós-cirurgia . Profissionais referência . Atendimento humanizado . Tecnologia de ponta .
SERVIÇOS ODONTOLÓGICOS
Na DiQuali, explicamos cada etapa do seu tratamento: do diagnóstico com nossa infraestrutura e equipamentos de ponta, ao planejamento, execução e pós-tratamento, proporcionando conforto, segurança e transparência em todo o processo.
Na DiQuali, explicamos cada etapa do seu tratamento: do diagnóstico com nossa infraestrutura e equipamentos de ponta, ao planejamento, execução e pós-tratamento, proporcionando conforto, segurança e transparência em todo o processo.
A prótese protocolo reabilita a função oral, auxiliando em atividades como mastigar, conversar e sorrir com mais conforto.








Reposição de dentes com foco em estabilidade e função mastigatória. A avaliação clínica e os exames definem o melhor plano para você.








Consultas regulares ajudam a evitar dor, cuidar dos dentes e manter seu sorriso saudável no dia a dia.








Os aparelhos ortodônticos podem ser fixos ou removíveis, e ajudam a corrigir alinhamento e mordida, melhorando função e estética do sorriso.








Cuidamos do seu sorriso com técnicas que priorizam conforto, minimizam dores e incômodos, preservando ao máximo cada dente.
















A prótese protocolo reabilita a função oral, auxiliando em atividades como mastigar, conversar e sorrir com mais conforto.








Reposição de dentes com foco em estabilidade e função mastigatória. A avaliação clínica e os exames definem o melhor plano para você.








Consultas regulares ajudam a evitar dor, cuidar dos dentes e manter seu sorriso saudável no dia a dia.








Os aparelhos ortodônticos podem ser fixos ou removíveis, e ajudam a corrigir alinhamento e mordida, melhorando função e estética do sorriso.








Cuidamos do seu sorriso com técnicas que priorizam conforto, minimizam dores e incômodos, preservando ao máximo cada dente.
Já imaginou realizar os seus procedimentos sedado com total segurança?
Na DiQuali é possível!
Solução para reduzir a ansiedade e tornar o atendimento mais confortável, mantendo a sua segurança.
É uma opção segura – quando indicado clinicamente- para pacientes com fobia de dentista, reflexo de náusea, necessidades especiais ou tratamentos extensos.
Já imaginou realizar os seus procedimentos sedado com total segurança?
Solução para reduzir a ansiedade e tornar o atendimento mais confortável, mantendo a sua segurança.
É uma opção segura – quando indicado clinicamente- para pacientes com fobia de dentista, reflexo de náusea, necessidades especiais ou tratamentos extensos.
TECNOLOGIA DE PONTA
Estrutura Odontológica Completa
Exames e recursos tecnológicos em um só lugar. Do diagnóstico aos procedimentos clínicos: realizados dentro da própria clínica, com conforto, agilidade e segurança.
EQUIPE DIQUALI ⭐⭐⭐⭐⭐
Pessoas cuidando de pessoas
Por trás de cada plano de tratamento existe um time que olha para você por inteiro. Integramos especialidades (clínico geral, endodontia, ortodontia, implantodontia e prótese) para diagnósticos precisos, personalização e previsibilidade dos seus tratamentos.
Abaixo, conheça o time DiQuali.
PROFISSIONAIS
CRO: 45412


Doutor
Gleysson Pascoal
CRO: 66459


Doutor
Felipe David
CRO: 45832


Doutora
Helida Marine
CRO: 33340


Doutor
Igor Luís
CRO: 9025


Doutora
Maria Clara
CRO: 40134


Doutora
Nayara
CRO: 73240


Doutora
Enya Caroline
Conforto, tecnologia e segurança a favor do seu sorriso
Em nossas três unidades em Montes Claros, contamos com consultórios privativos, tecnologia de ponta, biossegurança rigorosa e sedação consciente (se indicada).
Realizamos exames e procedimentos no mesmo local, com agenda flexível e total acessibilidade, para uma experiência mais tranquila e eficiente.


Depoimentos em vídeo
Histórias reais, sem roteiro
Confira o que nossos pacientes – gente como você – dizem sobre a DiQuali:








⭐⭐⭐⭐⭐
Clínica 5 Estrelas no Google
Com mais de 240 avaliações autênticas no Google e 99% delas com nota máxima, cada depoimento representa uma jornada compartilhada com a DiQuali.
DEPOIMENTOS




















Dúvidas Frequentes
Tem dúvida? Você não está só. Reunimos aqui as perguntas que mais recebemos na DiQuali — sobre conforto, tempo de tratamento, investimento e resultados — com respostas claras e objetivas.
O valor é individual, definido após avaliação e diagnóstico — assim evitamos “tabelas genéricas” que não refletem sua necessidade. Apresentamos o plano com opções de pagamento e condições de parcelamento. Sobre convênios e reembolso, orientamos conforme a política de cada unidade e do seu plano, para você decidir com segurança.
Política de orçamento claro e sem surpresa:
Orçamento detalhado por etapas, com valores discriminados.
O que está incluso e o que não está fica explícito.
Qualquer ajuste só segue com sua autorização (por escrito), e explicamos o porquê (ex.: achados clínicos no dia do procedimento).
Realizamos uma avaliação integrada: escuta atenta da sua história, anamnese, fotos clínicas, scanner intraoral e, se indicado, raio X digital. A partir daí, nosso coordenador clínico direciona você ao especialista ideal (ortodontia, implantodontia, prótese, endodontia, periodontia, estética ou cirurgia).
Trabalhamos com diagnóstico e previsibilidade:
Documentação completa no local (scanner intraoral, raio X digital) e planejamento 3D quando indicado.
Apresentamos opções comparativas (ex.: alinhadores x aparelho fixo; implante x prótese removível), com prós e contras, tempo de tratamento, manutenção, invasividade, estética e custo.
Tudo é formalizado em um plano de cuidado claro, com cronograma e orientações do que depende de você para o resultado.
Seguimos protocolos rigorosos de esterilização e proteção individual, em consultórios privativos. Em sedação consciente, o monitoramento é contínuo e feito por profissional habilitado. Segurança não é detalhe: é base do cuidado.